Laboratoire de prothèse dentaire à Brignoles

  • Nous serons present au Dental Forum, en tant que visiteurs le vendredi 13 et le samedi 14 avril 2018, afin de participer aux conferences données ces jours-ci. Et ainsi ameliorer au mieux nos metodes de travail afin d'augmenter notre qualité.

     

    Commandez vos implants dentaires auprès d’un professionnel à Brignoles


    Implanté à Brignoles dans le Var, Centre Var Prothèse Dentaire, votre prothésiste dentaire  confirmé, vous apporte son savoir-faire dans la fabrication de prothèses dentaires et propose la réalisation de prothèses sur implants de qualité.

    En fonction de vos besoins, le laboratoire dentaire assure la conception et la réalisation de prothèses dentaires avec une finition irréprochable, destinées à se fixer sur des implants dentaires et à vous offrir la possibilité de remplacer tous types de dents, notamment les couronnes.

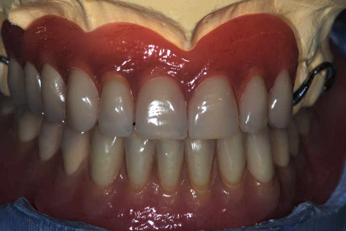
    Réalisation de tous types de prothèse sur implants

    Ayant l'avantage d’apporter plus de stabilité, les implants sont solidement installés dans l’os alvéolaire remplacent les racines naturelles des dents extraites et accueillent les prothèses dentaires de façon permanente.

    Le laboratoire Centre Var Prothèse Dentaire prend en charge la conception et la fabrication de prothèses dentaires  sur implants, notamment, les molaires, les prémolaires, les canines ainsi que les incisives, et ce en deux types distincts, à savoir les prothèses qui se fixent de façon permanente et les prothèses amovibles.

    Réalisation de tous types de prothèse sur implants

    Pour davantage d’informations sur la fabrication de prothèses sur implants, n’hésitez pas à nous contacter  au 06.37.81.40.28.


    Centre var prothèse dentaire.

    Nos réalisations

    En savoir plus